Sağlıklı Bir Gülüş, Güvenle Başlar
Dt. Serra Gürgünlü ile kişiye özel tedavi planları. Güncel teknoloji ve konforlu bir klinik deneyimi.
Tedavi Seçeneklerimiz
İhtiyacınıza uygun tedavi seçenekleri
Çene ve Eklem Rahatsızlıkları
Detayİmplant ve Cerrahi İşlemler
Diş implantı uygulaması
DetayGülüş Tasarımı ve Estetik
DetayOrtodontik Tedaviler
Tel ve şeffaf plak tedavileri
DetayRestoratif İşlemler ve Estetik Restorasyonlar
Kompozit ve amalgam dolgular
DetayEndodontik İşlemler
Endodonti tedavisi
Detay
Dt. Serra Gürgünlü
Diş Hekimi
Her hastaya özel tedavi planı oluşturarak, güncel teknikler ve modern ekipmanlarla ağız ve diş sağlığı hizmeti sunuyoruz. Kliniğimizde şeffaf iletişim ve hasta konforu ön plandadır.
- İmplant ve Protez Uygulamaları
- Estetik Diş Hekimliği
- Koruyucu Diş Tedavileri
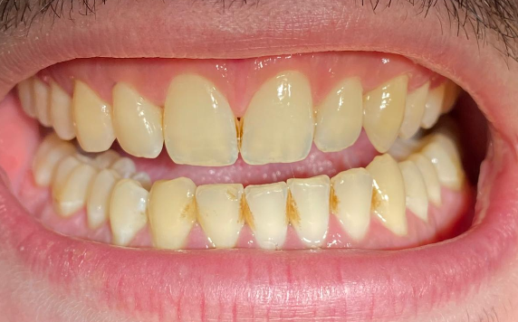
Öncesi / Sonrası
Hastalarımız Ne Diyor?
Serra hanima gozunuz kapali guvenebilirsiniz gercekten dental fobimi yenmeme cok yardimci oldu
Çok memnun kaldım, güler yüzlü ve profesyonel ekip.
Randevu sistemi çok pratik, herkese tavsiye ederim.
Hemen Randevu Alın
Sağlıklı gülüşünüz için ilk adımı atın. Online randevu veya WhatsApp ile bize ulaşın.
Sağlık Yazıları
Diş sağlığı hakkında faydalı bilgiler

